اطلاعات تماس :
کرج، جهانشهر، خیابان شهید بهشتی، نرسیده به خیابان کسری، برج ولیعهدی، طبقه ۷، واحد ۷۰۱
09030138303
روزهای شنبه تا سه شنبه
از ساعت ۰۹:۰۰ تا ۱۷:۳۰چهارشنبه از ساعت ۰۹:۰۰ تا ۱۶:۳۰
دسترسی سریع :
آخرین مطالب ارتودنسی
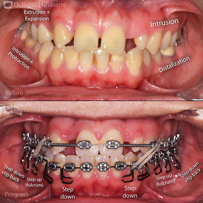
ارتودنسی مولتی لوپ؛ درمان تخصصی ناهنجاریهای فک و دندان11 آذر 1403 - 10:24 ق.ظ
ارتودنسی دندان نهفته؛ راهحلی برای درمان مشکلات پنهان دندانها10 آذر 1403 - 6:20 ب.ظ

















































































