شماره پرونده : M.97_1252
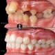
درمان ارتودنسی بدون کشیدن دندان در کیس با مشکل دیپ بایت شدید(همپوشانی بیش از حد دندانهای قدامی) و کنت اکلوزال فک بالا با استفاده از تکنیک MEAW انجام شد. اصلاح دیپ بایت همراه با کنت اکلوزال از موارد پر چالش در درمانهای ارتودنسی هستند و تکنیک MEAW با قابلیت داشتن کنترل بر تک تک دندانها در هر ۳ بعد فضایی این چالش رو در زمان کمتری نسبت به تکنیک های دیگر درمان میکند. به علاوه از مزایای دیگر تکنیک MEAW اصلاح زوایه دندانهای قدامی در مراحل ابتدایی درمان و حفظ آن تا پایان درمان میباشد که همین امر در stability نتیجه درمان در بلند مدت بسیار موثر است.
Orthodontic treatment of severe deepbite case with occlusal cant done using MEAW technique. Deebbite with occlusal cant is one of the challenges among Orthodontic treatments and using MEAW technique provide controlling of each single tooth in all 3 dimensions which could shortens the treatment time comparing with other techniques. Another advantage of using MEAW technique in such cases would be the correction of front teeth inclination from the very beginning of treatment and maintaining it till end of the treatment which is a important fact for the long term stability of treatment results.
اطلاعات بیشتر: زمان ارتودنسی کودکان
اطلاعات بیشتر: متخصص ارتودنسی کرج
اطلاعات بیشتر: ارتودنسی ثابت چیست؟









