شماره پرونده : M.97_1402
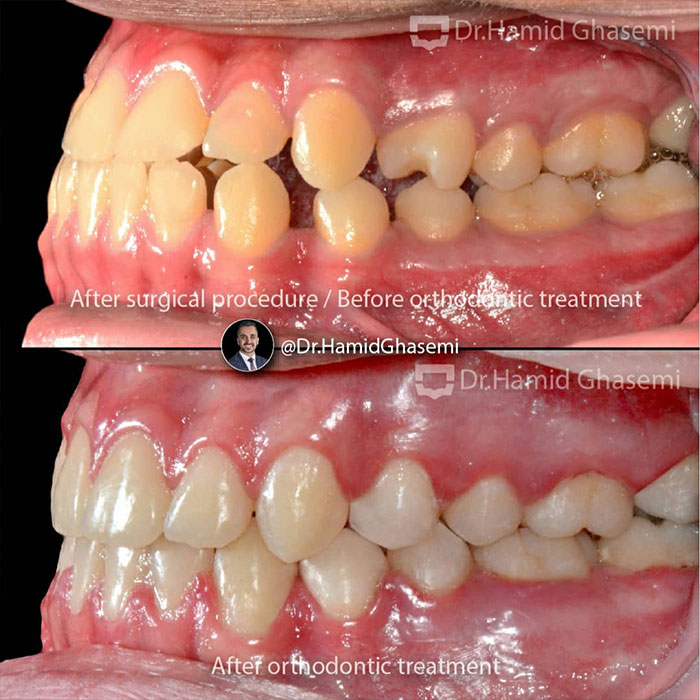
بکارگیری تکنیک surgery first (انجام جراحی فک قبل از شروع درمان ارتودنسی) در کیس شدید کلاس ۳ همراه با جلوزدگی شدید فک پایین و کمبود رشد فک بالا. با استفاده از تکنیک surgery first میتوان درمان کیس های شدید را با استابلیتی بالاتر و مدت زمان درمان کوتاه تر انجام داد.
با تشکر از آقای دکتر سلطانیان @dr.reza.soltanian جهت انجام جراحی بی نظیر بیمار.
Surgery first orthodontic treatment of class 3 case with severe prognathic mandible and deficient maxilla. Surgery first technique could be used in severe cases with better stabality and shorter treatment time.
Special thanks to dear @dr.reza.soltanian for the surgical procedure.
اطلاعات بیشتر: ارتودنسی کودکان
اطلاعات بیشتر: ارتودنسی ثابت
اطلاعات بیشتر: مزایای ارتودنسی متحرک









