شماره پرونده : M.97_1391
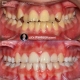
درمان ارتودنسی بدون کشیدن دندان در دختر ۱۳ ساله با مشکل نهفتگی پالاتالی دندان نیش و جلوزدگی فک بالا با forced eruption دندان نیش نهفته و استفاده از Tads system جهت دیستالیزیشن فک بالا در مدت ۲۰ ماه انجام شد.
Non extraction orthodontic treatment of 13 years old girl with palataly impacted canine and upper arch protrusion done by forced eruption of impacted canine and full upper arch distalization using Tads system within 20 months.










