شماره پرونده : M.96_1022
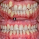
ایجاد فضای مورد نیاز توسط ارتودنسی جهت کاشت دندان لترال غایب در فک بالا.
Opening up required space for prosthetic implant replacement of missing upper lateral.
اطلاعات بیشتر: ارتودنسی کودکان
اطلاعات بیشتر: هزینه ارتودنسی
اطلاعات بیشتر: ارتودنسی نامرئی



