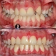
شماره پرونده : M.98_1564
درمان ارتودنسی بدون کشیدن دندان در کیس با مشکل جلوزدگی و شیب شدید دندانهای فک بالا و پایین همراه با فواصل بین دندانی در مدت ۲۰ ماه انجام شد.
Non extraction orthodontic treatment of case with bimaxillary dentoalveolar protrusion and generalized spacing done within 20 months.










