شماره پرونده : M 98-1578
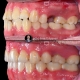
نهفتگی دو طرفه نیش های فک بالا.
دندانهای نیش نهفته فک بالا با استفاده از تکنیک force eruption به قوس دندانی هدایت شدند و به طور همزمان فواصل بین دندانی و جلوزدگی دندانهای قدامی در مدت ۱۸ ماه اصلاح شدند.
Bilateral impacted canines in upper arch.
Impacted canines been forced erupted while generalized spacing and incisors flaring treated simultaneously within 18 months.
دکتر حمید قاسمی متخصص ارتودنسی کرج
اطلاعات بیشتر: ارتودنسی لینگوال
اطلاعات بیشتر: جراحی فک کرج
اطلاعات بیشتر: قیمت ارتودنسی








