شماره پرونده : M.96_1062
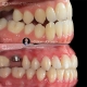
درمان ارتودنسی در بیمار ۴۵ ساله با کراودینگ شدید دندانی وانحراف در آرچ دو فک در مدت ۲۰ ماه انجام شد.
Orthodontic treatment of 45 years old patient with severe crowding and deviation in both arches done within 20 months.
اطلاعات بیشتر: ارتودنسی کودکان
اطلاعات بیشتر: هزینه ارتودنسی
اطلاعات بیشتر: ارتودنسی نامرئی









