شماره پرونده : C 95-7221
ارتودنسی بزرگسالان: ارتودنسی محدودیت سنی ندارد.
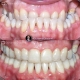
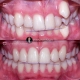
درمان ارتودنسی بدون جراحی فک در خانم ۶۰ ساله همراه با کراودینگ شدید، تنگی فک و باکال کریدور وسیع (فضای خالی گوشه دهان) با کشیدن تنها یک دندان قدامی فک پایین در مدت ۲۰ ماه انجام شد.
There is no age limitation for orthodontic treatment.
Non surgical orthodontic treatment of 60 years old women with severe crowding, arch constriction and wide buccal corridors done within 20 months.
اطلاعات بیشتر: هزینه ارتودنسی فک پایین
اطلاعات بیشتر: ارتودنسی نامرئی
اطلاعات بیشتر: متخصص ارتودنسی کودکان








 کرج، جهانشهر، خیابان شهید بهشتی، نرسیده به خیابان کسری، برج ولیعهدی، طبقه ۷، واحد ۷۰۱
کرج، جهانشهر، خیابان شهید بهشتی، نرسیده به خیابان کسری، برج ولیعهدی، طبقه ۷، واحد ۷۰۱
 روزهای شنبه، دوشنبه و چهارشنبه
از ساعت 13:00 تا 19:30
روزهای شنبه، دوشنبه و چهارشنبه
از ساعت 13:00 تا 19:30



